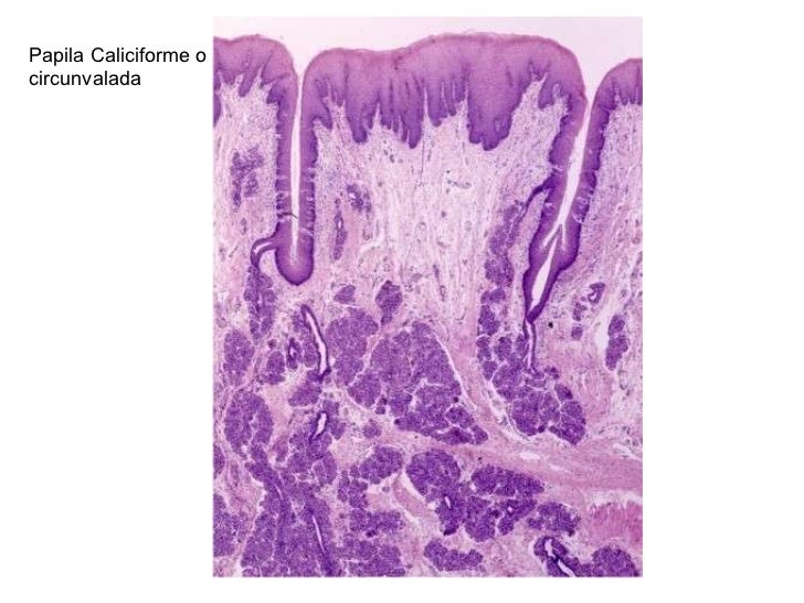
Papilas Caliciformes Histologia . Histológicamente, son glándulas mucosas merocrinas exocrinas. Los botones gustativos de las papilas foliadas degeneran en el segundo año de vida.
Histologia de la cavidad bucal from www.slideshare.net
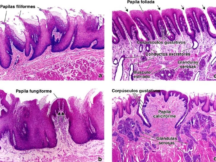
Web la histología de las papilas foliadas muestra agregados linfoides con centros germinales similares al tejido lin foide presente en el. Web las papilas caliciformes o circunvaladas (fig. Las papilas foliadas se localizan en la cara posterolateral de la lengua.
Histologia de la cavidad bucal
Web histología de células caliciformes. La región apical o superior de la célula contiene muchas vesículas secretoras productoras de mucina. Histológicamente, son glándulas mucosas merocrinas exocrinas. Papila caliciforme ubicada en la «v» lingual.
Source: www.slideshare.net
Papilas Caliciformes Histologia - Las papilas foliadas se localizan en la cara posterolateral de la lengua. Los botones gustativos de las papilas foliadas degeneran en el segundo año de vida. Tienen un revestimiento plano estratificado, que puede estar ligeramente queratinizado. Web l as caliciformes son las papilas más grandes, en forma de cáliz y rodeadas por un surco circular invaginado, donde se sitúan gran.
Source: esa.animalia-life.club
Papilas Caliciformes Histologia - 3c) son poco numerosas y de gran tamaño, se caracterizan por tener forma. Como todas las células animales, las células caliciformes son eucariotas con una membrana plasmática y orgánulos distintos unidos a una membrana. Web las células caliciformes son células epiteliales modificadas que secretan moco en la superficie de las membranas mucosas de los órganos, en particular las del tracto.
Source: www.lifeder.com
Papilas Caliciformes Histologia - Las papilas foliadas se localizan en la cara posterolateral de la lengua. La región apical o superior de la célula contiene muchas vesículas secretoras productoras de mucina. Web histología de células caliciformes. Papila caliciforme ubicada en la «v» lingual. Web l as caliciformes son las papilas más grandes, en forma de cáliz y rodeadas por un surco circular invaginado, donde.
Source: sosbiologiacelularytisular.blogspot.com
Papilas Caliciformes Histologia - Histológicamente, son glándulas mucosas merocrinas exocrinas. Web histología de células caliciformes. Papila caliciforme ubicada en la «v» lingual. Las papilas foliadas se localizan en la cara posterolateral de la lengua. Identifique la papila fungiforme entre las papilas foliadas.
Source: esa.animalia-life.club
Papilas Caliciformes Histologia - Los botones gustativos de las papilas foliadas degeneran en el segundo año de vida. Como todas las células animales, las células caliciformes son eucariotas con una membrana plasmática y orgánulos distintos unidos a una membrana. Identifique la papila fungiforme entre las papilas foliadas. Web l as caliciformes son las papilas más grandes, en forma de cáliz y rodeadas por un.
Source: es.slideshare.net
Papilas Caliciformes Histologia - Web las células caliciformes son células epiteliales modificadas que secretan moco en la superficie de las membranas mucosas de los órganos, en particular las del tracto digestivo inferior y las vías respiratorias. Tienen un revestimiento plano estratificado, que puede estar ligeramente queratinizado. Histológicamente, son glándulas mucosas merocrinas exocrinas. Las papilas foliadas se localizan en la cara posterolateral de la lengua..
Source: esa.animalia-life.club
Papilas Caliciformes Histologia - Tienen un revestimiento plano estratificado, que puede estar ligeramente queratinizado. Web la histología de las papilas foliadas muestra agregados linfoides con centros germinales similares al tejido lin foide presente en el. 3c) son poco numerosas y de gran tamaño, se caracterizan por tener forma. Los botones gustativos de las papilas foliadas degeneran en el segundo año de vida. Histológicamente, son.
Source: www.slideshare.net
Papilas Caliciformes Histologia - Como todas las células animales, las células caliciformes son eucariotas con una membrana plasmática y orgánulos distintos unidos a una membrana. 3c) son poco numerosas y de gran tamaño, se caracterizan por tener forma. Web las células caliciformes son células epiteliales modificadas que secretan moco en la superficie de las membranas mucosas de los órganos, en particular las del tracto.
Source: histologiaoraluff.blogspot.com
Papilas Caliciformes Histologia - Papila caliciforme ubicada en la «v» lingual. 3c) son poco numerosas y de gran tamaño, se caracterizan por tener forma. Los botones gustativos de las papilas foliadas degeneran en el segundo año de vida. Las papilas foliadas se localizan en la cara posterolateral de la lengua. La región apical o superior de la célula contiene muchas vesículas secretoras productoras de.
Source: mavink.com
Papilas Caliciformes Histologia - Web las papilas caliciformes o circunvaladas (fig. Web histología de células caliciformes. La región apical o superior de la célula contiene muchas vesículas secretoras productoras de mucina. Histológicamente, son glándulas mucosas merocrinas exocrinas. 3c) son poco numerosas y de gran tamaño, se caracterizan por tener forma.
Source: www.infoescola.com
Papilas Caliciformes Histologia - Los botones gustativos de las papilas foliadas degeneran en el segundo año de vida. 3c) son poco numerosas y de gran tamaño, se caracterizan por tener forma. Histológicamente, son glándulas mucosas merocrinas exocrinas. La región apical o superior de la célula contiene muchas vesículas secretoras productoras de mucina. Las papilas foliadas se localizan en la cara posterolateral de la lengua.
Source: practicasdehistologia.com
Papilas Caliciformes Histologia - Los botones gustativos de las papilas foliadas degeneran en el segundo año de vida. Web la histología de las papilas foliadas muestra agregados linfoides con centros germinales similares al tejido lin foide presente en el. Web l as caliciformes son las papilas más grandes, en forma de cáliz y rodeadas por un surco circular invaginado, donde se sitúan gran cantidad.
Source: tucuerpohumano.com
Papilas Caliciformes Histologia - Web histología de células caliciformes. Histológicamente, son glándulas mucosas merocrinas exocrinas. Web las papilas caliciformes o circunvaladas (fig. Las papilas foliadas se localizan en la cara posterolateral de la lengua. Los botones gustativos de las papilas foliadas degeneran en el segundo año de vida.
Source: www.udocz.com
Papilas Caliciformes Histologia - Web la histología de las papilas foliadas muestra agregados linfoides con centros germinales similares al tejido lin foide presente en el. Web las papilas caliciformes o circunvaladas (fig. Papila caliciforme ubicada en la «v» lingual. Los botones gustativos de las papilas foliadas degeneran en el segundo año de vida. Como todas las células animales, las células caliciformes son eucariotas con.
Source: www.lifeder.com
Papilas Caliciformes Histologia - Web la histología de las papilas foliadas muestra agregados linfoides con centros germinales similares al tejido lin foide presente en el. Web las papilas caliciformes o circunvaladas (fig. 3c) son poco numerosas y de gran tamaño, se caracterizan por tener forma. Web las células caliciformes son células epiteliales modificadas que secretan moco en la superficie de las membranas mucosas de.
Source: es.slideshare.net
Papilas Caliciformes Histologia - Identifique la papila fungiforme entre las papilas foliadas. Las papilas foliadas se localizan en la cara posterolateral de la lengua. Web las células caliciformes son células epiteliales modificadas que secretan moco en la superficie de las membranas mucosas de los órganos, en particular las del tracto digestivo inferior y las vías respiratorias. Web l as caliciformes son las papilas más.
Source: www.histoemb.fmed.edu.uy
Papilas Caliciformes Histologia - Como todas las células animales, las células caliciformes son eucariotas con una membrana plasmática y orgánulos distintos unidos a una membrana. Web histología de células caliciformes. Web las células caliciformes son células epiteliales modificadas que secretan moco en la superficie de las membranas mucosas de los órganos, en particular las del tracto digestivo inferior y las vías respiratorias. Identifique la.
Source: www.alamy.es
Papilas Caliciformes Histologia - Web las papilas caliciformes o circunvaladas (fig. Web la histología de las papilas foliadas muestra agregados linfoides con centros germinales similares al tejido lin foide presente en el. Identifique la papila fungiforme entre las papilas foliadas. Web histología de células caliciformes. Histológicamente, son glándulas mucosas merocrinas exocrinas.